FOGPÓTLÁS IMPLANTÁTUMMAL - HASZNOS TUDNIVALÓK
A FONTOS!
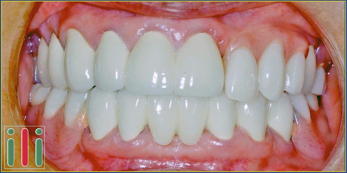
A Blog rovatban olvasható írások tájékoztató jellegűek, általános információkat tartalmaznak, és nem helyettesítik a szakemberrel folytatott konzultációt!
A felhasznált képek szemléltető jellegű illusztrációk!
A Blog rovatban olvasható írások tájékoztató jellegűek, általános információkat tartalmaznak, és nem helyettesítik a szakemberrel folytatott konzultációt!
A felhasznált képek szemléltető jellegű illusztrációk!
A HAGYOMÁNYOS MŰFOGSOR KIHÍVÁSAI – PROBLÉMÁK ÉS HATÉKONY MEGOLDÁSOK
A hagyományos műfogsor kihívásai – problémák és hatékony megoldások Bevezető Magyarországon rengetegen élnek hagyományos, kivehető fogpótlással, mégis kevesen beszélnek arról, milyen nehézségekkel jár a mindennapi használat. Sokan nem tudják, hogyan kell helyesen ápolni a protézist, ...
Tovább olvasom
A SIKERES IMPLANTÁTUMBEÜLTETÉS FELTÉTELEI
A sikeres Implantátum beültetés feltétele: felkészült páciens és implantátum beültetés specialista Bevezető A fogászati implantátum ma már a legmegbízhatóbb és legtermészetesebb módja a hiányzó fogak pótlásának. Az elmúlt években olyan technológiai fejlődés történt, amely korábban ...
Tovább olvasom
FOGBEÜLTETÉS ALAPÚ FIX FOGSOR EGYFÁZISÚ IMPLANTÁTUMMAL
Fogbeültetés alapú fix fogsor a tökéletes fogpótlás megoldás Bevezető A fogbeültetés alapú fix fogsor ma már a legkorszerűbb és legtermészetesebb megoldás a teljes foghiány vagy a súlyosan károsodott fogazat pótlására. A modern implantológia fejlődése lehetővé ...
Tovább olvasom
IMPLANTÁTUM ALAPÚ SZÁJ REHABILITÁCIÓ – MIT JELENT A KIFEJEZÉS
Az implantátum alapú száj rehabilitáció implantátumon rögzített teljes fogsort jelent Bevezető Az implantátum alapú száj rehabilitáció a modern fogászat egyik legösszetettebb, ugyanakkor leglátványosabb eredményt nyújtó kezelése. Lényege, hogy a hiányzó vagy már nem menthető fogakat ...
Tovább olvasom
FOGIMPLANTÁTUM BEÜLTETÉS MÓDSZEREK – FOGÁSZATI IMPLANTÁTUMOK
Fogimplantátum beültetés módszerek implantátum alapú száj rehabilitáció Bevezető A fogimplantátum beültetés módszerek az elmúlt évtizedekben hatalmas fejlődésen mentek keresztül. Míg korábban a foghiány vagy a súlyosan károsodott fogazat pótlására szinte kizárólag koronák, hidak vagy kivehető ...
Tovább olvasom
HAGYOMÁNYOS PROTÉZIS – IMPLANTÁTUM BEÜLTETÉS – A MÚLT ÉS A JELEN
A hagyományos protézis és implantátum beültetés között lényeges eltérések vannak Bevezető A jó rágóképesség és a magabiztos megjelenés alapja az egészséges, rendezett fogazat. Ahogy azonban telik az idő, még gondos ápolás mellett is előfordulhat, hogy ...
Tovább olvasom
FOG IMPLANTÁTUM ÁR ÖSSZEHASONLÍTÁS – MIÉRT ÉRDEMES BENNÜNKET VÁLASZTANI
Fog implantátum ár összehasonlítás Nyugat-Európai és USA ár-összehasonlítás Bevezető Gondolkozott már azon, hogy Budapestre utazik implantátum beültetés alapú fogpótlás miatt? Előfordult már, hogy összehasonlított fogimplantátummal történő fogpótlás ár‑táblázatokat, vagy egyáltalán olvasott már a fog implantátum ...
Tovább olvasom
LEHETSÉGES PROBLÉMÁK A FOGÁSZATI IMPLANTÁTUMOKKAL
Milyen problémák lehetnek a fogászati implantátumokkal Bevezető A fogászati implantátumok ma a legmodernebb és legtermészetesebb fogpótlási megoldások közé tartoznak: stabilak, esztétikusak, és lehetővé teszik, hogy a páciens újra magabiztosan mosolyogjon és rágjon. Mégis sokan bizonytalanok, ...
Tovább olvasom
EGYFÁZISÚ AZONNAL TERHELHETŐ IMPLANTÁTUM – GYAKORI KÉRDÉSEK
Gyakori kérdések az egyfázisú azonnal terhelhető implantátum beültetéssel kapcsolatban Bevezető A fogazat állapota alapvetően meghatározza az életminőséget: befolyásolja a rágást, a beszédet, a megjelenést és az önbizalmat. Amikor a fogak állapota már nem teszi lehetővé ...
Tovább olvasom
KÉTFÁZISÚ IMPLANTÁTUM ÉS IMPLANTÁTUM BEÜLTETÉS
Kétfázisú implantátum – teljes útmutató a hagyományos implantációs módszerről Bevezető A fogak elvesztése nem csupán esztétikai kérdés, hanem az életminőség számos területére hatással van. A rágás, a beszéd, a harapás, az önbizalom és az arc ...
Tovább olvasom
FÁJDALOMMENTES FOGÁSZAT – MODERN ÉRZÉSTELENÍTÉSI MÓDSZEREK ÉS MELLÉKHATÁSOK
Fájdalommentes fogászat, hatékony fájdalomcsillapító módszerek és gyógyszerek Bevezető A fogászati kezelésekkel kapcsolatban sokakban él egy mélyen gyökerező félelem: a fájdalomtól való tartózkodás. Gyakran hallani régi történeteket, rossz élményeket, vagy olyan beszámolókat, amelyek alapján a fogorvosi ...
Tovább olvasom










